<a href="https://top.mail.ru/">Top.Mail.Ru
Акне: причины и лечение / Лазерный Доктор СПб
logo
logo
Позвонить Записатьcя онлайн

Что такое акне и как его лечить?

Елена Эрнстовна Симонян
Под редакцией врача
Что такое акне и как его лечить?
Автор фото: freepik

Что такое акне и как его лечить — чуть ли не главные вопросы человека, который столкнулся с угревой сыпью. Особенно впервые. Хорошо, что есть люди, готовые ввести вас в курс дела и рассказать про это заболевание. Поэтому сегодня мы расскажем про акне, почему оно возникает и как, собственно, от него можно избавиться.

Акне: что это

Итак, акне — это болезнь сальных желез, которая возникает из-за закупорки протоков и повышенной выработки кожного сала. В результате они воспаляются, проявляясь на коже красными угрями. Обычно угри портят личную жизнь подростков и молодых людей до 25 лет. Однако появиться акне может и после указанного возраста. Чаще всего это случается из-за нарушений обмена веществ. Впрочем, факторов, влияющих на появление угрей может быть много.

Акне: причины

Если говорить о появлении на кожей угрей, то можно выделить четыре фактора, совокупность которых позволит ощутить на себе все «прелести» течения заболевания акне.

Во-первых, слишком активное функционирование сальных желез. Из-за этого произведенный ими секрет становится плотным, закупоривая протоки. Как правило, проявляется в пубертатный период.

Во-вторых, утолщение ороговевшего слоя волосяной луковицы из-за неправильной работы обновления тканей фолликулы. Из-за этого ухудшается и без того слабый отток выработанного сальными железами секрета.

В-третьих, пропионовые бактерии акне, а вернее, их неестественно гиперактивное размножение в сально-роговой пробке, являющейся очень подходящей средой для этих жизнедеятельности этих бактерий.

В-четвертых, огромное количество бактерий в сальных пробках вызывает очаги воспалений в тканях.

Что такое акне и как его лечить?
Автор фото: freepik

В результате взаимного действия всех этих четырех составляющих и появляется акне. Но это если рассматривать механизм появление. А вот причины акне могут быть намного разнообразнее:

  1. Злоупотребление декоративной косметикой (либо некачественная косметика).

  2. Нарушения гормонального фона.

  3. Неблагоприятные условия: чрезмерно высокая влажность, высокая температура.

  4. Постоянный стресс.

  5. Прием стероидов.

  6. Некоторые болезни внутренних органов.

  7. Неправильное питание.

  8. Проблемы с иммунитетом.

  9. Авитаминоз.

  10. Инфекции.

  11. Игнорирование элементарной гигиены.

  12. Генетическая предрасположенность.


Помните, что если вы обнаружили у себя болезнь акне, не стоит заниматься самолечением — лучше обратиться к врачу. Специалист доступно объяснит, что выдавливать прыщи — значит почти гарантировано занести инфекцию. Прочие методы альтернативной медицины также лучше не рассматривать всерьез. Только квалифицированный и опытный врач сможет правильно определить акне, причины его появления и назначить адекватное лечение.

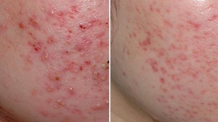
Заболевание акне
Автор фото: группа компаний Лазерный Доктор

Лечение акне

Сегодня акне можно вылечить с помощью одной из следующих процедур:

  1. Лазерная терапия. Лечение акне лазером проводится при помощи аппарата SPECTRA. Во время процедуры лазер устраняет благоприятную для бактерий среду, оказывая воздействие на кожу на определенной глубине. Также лазер подсушивает кожу и стимулирует процессы регенерации. Благодаря этому ткани восстанавливаются, можно сказать, изнутри. Кроме того, благодаря лазеру активируется синтез коллагена и эластина, что улучшает внешний вид кожи, делая ее упругой и эластичной.

  2. Инъекционные методы лечения акне. Существует две инъекционные процедуры акне: мезотерапия и плазмолифтинг. Обе эти процедуры подразумевают введение в проблемную кожу инъекций для лечение акне. Отличаются они вводимым веществом. Так, при проведении мезотерапии врач вводит индивидуально подобранный состав из витаминов, гиалуроновой кислоты, микроэлементов и других полезных веществ. При этом активируется межклеточный обмен веществ и процессы восстановления клеток кожи. Плазмолифтинг же подразумевает введение собственной плазмы пациента, что не только устраняет прыщи, но и активирует синтез коллагеновых и эластиновых волокон.


В нашей клинике вы можете записаться на любую из вышеперечисленных процедур. Но помните, что перед сеансом необходимо записаться на консультацию специалиста. Это нужно для того, чтобы дерматокосметолог или лазеротерапевт смог выявить противопоказания, подобрать оптимальную для пациента процедуру и спланировать лечение. Кроме того, врач расскажет про акне, что это и из-за чего возникло.

Также стоит отметить, что плазмолифтинг подразумевает некоторую подготовку от пациента. В частности, нужно будет придерживаться определенной диеты и подготовить несколько справок (ВИЧ, сифилис, гепатит). Подробнее о подготовке также можно узнать на консультации врача.

Записаться можно как по телефону, так и при помощи удобной формы на этом сайте.


ПОДПИШИТЕСЬ НА РАССЫЛКУ
Будьте в курсе всех акций, получайте эксклюзивные предложения каждый месяц и дополнительную скидку в день рождения!