<a href="https://top.mail.ru/">Top.Mail.Ru
Удаление новообразований на лице лазером - Цены в СПб
logo
logo
Позвонить Записатьcя онлайн

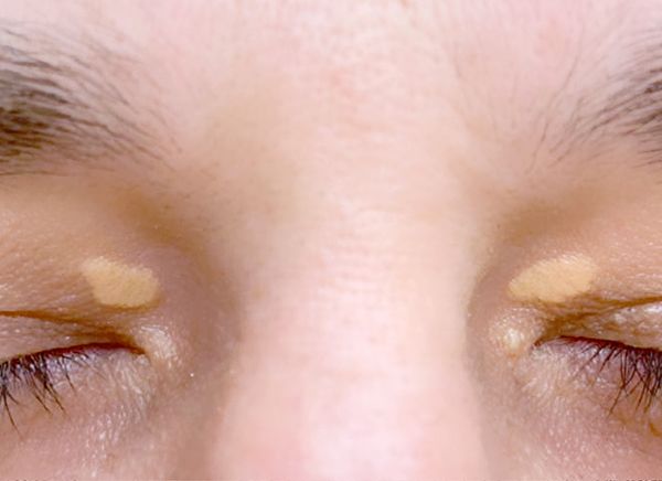
Лазерное удаление новообразований на лице

Удаление новообразований кожи
Автор фото: группа компаний Лазерный Доктор
от 550 рублей
Показать все цены
Продолжительность процедуры: 20-60 минут
Рекомендуемое количество процедур: 1
Восстановительный период: от 7 дней
Оборудование: хирургический CO2 лазер "Ланцет" (РИК, Россия)
Услуга предоставляется лицам старше 16 лет
Можно в летний период
Избавление от несовершенств кожи до 20%

Скажите оператору: "Хочу по скидке!"


до 30 апреля 2026

Цены

  • Наименовение
    Количество
    Стоимость
    Стоимость у ведущего специалиста
    Стоимость у главного врача в клинике на Гороховой,26-28
  • Новообразования в области глаза (верхнее или нижнее веко)
    Количество 1 шт до 5 мм
    Стоимость 3100 ₽
    Стоимость у ведущего специалиста 3400 ₽
    Стоимость у главного врача в клинике на Гороховой,26-28: 3500 ₽
  • Новообразования на ресничном крае
    Количество 1 шт до 5 мм
    Стоимость 5500 ₽
    Стоимость у ведущего специалиста 6000 ₽
    Стоимость у главного врача в клинике на Гороховой,26-28: 6300 ₽
  • Новообразования на слизистых (язык, ротовая полость, слизистая носа)
    Количество 1 шт до 5 мм
    Стоимость 3100 ₽
    Стоимость у ведущего специалиста 3400 ₽
    Стоимость у главного врача в клинике на Гороховой,26-28: 3500 ₽
  • Ангиома на лице
    Количество 1 шт до 2 мм
    Стоимость 1600 ₽
    Стоимость у ведущего специалиста 1700 ₽
    Стоимость у главного врача в клинике на Гороховой,26-28: 1800 ₽
  • Атерома на лице
    Количество 1 шт до 5 мм
    Стоимость 4200 ₽
    Стоимость у ведущего специалиста 4600 ₽
    Стоимость у главного врача в клинике на Гороховой,26-28: 4800 ₽
    • Бородавка на лице
      Количество 1 шт до 5 мм
      Стоимость 1600 ₽
      Стоимость у ведущего специалиста 1700 ₽
      Стоимость у главного врача в клинике на Гороховой,26-28: 1800 ₽
    • Ботриомикома на лице
      Количество 1 шт до 5 мм
      Стоимость 4200 ₽
      Стоимость у ведущего специалиста 4600 ₽
      Стоимость у главного врача в клинике на Гороховой,26-28: 4800 ₽
    • Гемангиома на лице
      Количество 1 шт до 5 мм
      Стоимость 1900 ₽
      Стоимость у ведущего специалиста 2000 ₽
      Стоимость у главного врача в клинике на Гороховой,26-28: 2100 ₽
    • Гиперплазия сальной железы
      Количество 1 шт до 5 мм
      Стоимость 1600 ₽
      Стоимость у ведущего специалиста 1700 ₽
      Стоимость у главного врача в клинике на Гороховой,26-28: 1800 ₽
    • Кератома на лице
      Количество 1 шт до 5 мм
      Стоимость 1600 ₽
      Стоимость у ведущего специалиста 1700 ₽
      Стоимость у главного врача в клинике на Гороховой,26-28: 1800 ₽
    • Кератома на лице лазером Fotona
      Количество 1 шт до 5 мм
      Стоимость 2700 ₽
      Стоимость у ведущего специалиста 2700 ₽
      Стоимость у главного врача в клинике на Гороховой,26-28:
    • Кератоакантома на лице
      Количество 1 шт до 5 мм
      Стоимость 4200 ₽
      Стоимость у ведущего специалиста 4600 ₽
      Стоимость у главного врача в клинике на Гороховой,26-28: 4800 ₽
    • Кожный рог на лице
      Количество 1 шт до 5 мм
      Стоимость 1600 ₽
      Стоимость у ведущего специалиста 1700 ₽
      Стоимость у главного врача в клинике на Гороховой,26-28: 1800 ₽
    • Контагиозный моллюск на лице
      Количество 1 шт до 5 мм
      Стоимость 1300 ₽
      Стоимость у ведущего специалиста 1400 ₽
      Стоимость у главного врача в клинике на Гороховой,26-28: 1500 ₽
    • Милиум на лице (от 1 до 10 шт.)
      Количество за 1 шт.
      Стоимость 750 ₽
      Стоимость у ведущего специалиста 800 ₽
      Стоимость у главного врача в клинике на Гороховой,26-28: 850 ₽
    • Милиум на лице (от 11 шт.)
      Количество за 1 шт.
      Стоимость 550 ₽
      Стоимость у ведущего специалиста 600 ₽
      Стоимость у главного врача в клинике на Гороховой,26-28: 650 ₽
    • Папиллома на лице
      Количество 1 шт до 5 мм
      Стоимость 1400 ₽
      Стоимость у ведущего специалиста 1500 ₽
      Стоимость у главного врача в клинике на Гороховой,26-28: 1600 ₽
    • Родинка (невус, фиброма) на лице
      Количество 1 шт до 5 мм
      Стоимость 1600 ₽
      Стоимость у ведущего специалиста 1700 ₽
      Стоимость у главного врача в клинике на Гороховой,26-28: 1800 ₽
    • Халязион на веке
      Количество 1 шт до 5 мм
      Стоимость 7600 ₽
      Стоимость у ведущего специалиста 8300 ₽
      Стоимость у главного врача в клинике на Гороховой,26-28: 8700 ₽
    • Келоидный рубец на лице
      Количество до 5 мм
      Стоимость 1900 ₽
      Стоимость у ведущего специалиста 2000 ₽
      Стоимость у главного врача в клинике на Гороховой,26-28: 2100 ₽
    • Шлифовка кожи на лице и шее Ланцет
      Количество до 5 мм
      Стоимость 1600 ₽
      Стоимость у ведущего специалиста 1700 ₽
      Стоимость у главного врача в клинике на Гороховой,26-28: 1800 ₽

Уточняйте ФИО врачей и адреса клиник, участвующих в акции, при записи у операторов. Чтобы записаться по акции, озвучьте ее оператору или в комментарии.

• Краткая консультация по удалению новообразований проводится бесплатно.
• Консультация по удалению новообразований у Обжериной О.И. или Ковшовой А.А. – 1200 руб.
• Консультация по удалению новообразований с проведением дерматоскопии или использованием дополнительных средств для обследования - 1000 руб. В случае прохождения процедуры в день обращения консультация бесплатна.
• Консультация по новообразованиям удаленных в других клиниках – 1000 руб.
• Цены на удаление новообразований могут быть изменены специалистом в зависимости от сложности работ и количества расходного материала. При удалении новообразований на разных зонах лица и/или тела площади обработки не суммируются.

• Стоимость анестезии 240-290 рублей, в зависимости от препарата
• Гистологическое исследование — 2 300 руб.

Удаление новообразований фото до и после Удаление новообразований фото до и после До После Удаление новообразований фото до и после
Удаление новообразований фото до и после Удаление новообразований фото до и после До После Удаление новообразований фото до и после
Удаление новообразований фото до и после Удаление новообразований фото до и после До После Удаление новообразований фото до и после
Удаление сосудов фото до и после Удаление сосудов фото до и после До После Удаление сосудов фото до и после
До После Удаление новообразования
До После Удаление новообразования на лице
до после До После Удаление новообразований на лице
удаление кератомы до удаление кератомы после До После Удаление кератомы на лице
невус до невус после До После Удаление невуса
До После Удаление атеромы
До После Удаление родинки на шее
До После Удаление папилломы
До После удаление милиума
До После удаление ангиомы
До После удаление новообразований
До После Удаление фибромы
До После Удаление кератомы
До После удаление новообразования
До После удаление новообразования
До После Удаление пиогенной гранулемы

Кожные новообразования на лице

Кожные образования на лице могут стать настоящей проблемой, вызывающей не только дискомфорт в общении с другими людьми, но и физические неудобства в виде болезненных ощущений при травмировании родинок, бородавок и других новообразований. Как правило, наросты на лице – это либо врожденное, либо приобретенное явление.

Преимущества удаления новообразований на лице с помощью лазера:

  • Врач-дерматовенеролог в любой момент может изменить мощность или глубину проникновения излучения, что позволяет обрабатывать даже деликатные зоны, убирая, к примеру, новообразования в носу или на веках.

  • Лазерный луч воздействует только на нарост, не затрагивая здоровые ткани.

  • Во время обработки происходит дезинфекция раны, что полностью исключает риск заражения.

  • В отличие от хирургической операции, лазерное удаление новообразований на коже лица и шеи не приводит к кровотечению, так как луч коагулирует, то есть буквально склеивает все поврежденные сосуды.

Читать далее
Подготовка и процесс
  1. Как подготовиться к процедуре
    Специальных подготовительных мер не требуется. Необходимо только проконсультироваться со специалистом перед удалением новообразования.
  2. Как проходит процедура
    Процедура проводится после консультации с врачом.

    Осуществляется под местной инъекционной анестезией, что полностью обезболивает процесс. Время удаления — от 20 минут, в зависимости от размера и вида новообразования. После удаления врач обрабатывает ранку и дает рекомендации по уходу.

    При удалении всех новообразований кожи рекомендовано гистологическое исследование для подтверждения диагноза, поставленного врачом.
  3. Уход после процедуры
    После лазерного удаления на коже остается небольшая ранка, которую необходимо обрабатывать до образования корочки (ее нельзя снимать). Не рекомендуется посещать баню и сауну до тех пор, пока не образуется корочка, а также загорать, чтобы исключить риск образования пигментации на участке кожи.

    Бородавки, халязионы и атеромы являются рецидивирующими новообразованиями. Спустя время возможно их повторное появление на коже, если не устранена первопричина их возникновения. Рецидив не зависит от способа удаления.
  4. В летний период
    Проведение процедуры в летний период возможно при соблюдении следующих требований:
    • Прохождение очной консультации у врача-косметолога, который должен убедиться в отсутствии противопоказаний и возможности проведения процедуры.

    • Исключить поездки в жаркие страны и загар (в том числе солярий) за 30 дней до и после планируемой даты процедуры.

    • Регулярное использование и обновление SPF-защиты 50.

    • Ношение головного убора и закрытой одежды в месте проведения процедуры в период 3-4 недель после сеанса.

Противопоказания

  • Беременность и лактация
  • Кровотечения
  • Поражения ЦНС с повышенной возбудимостью
  • Любые болезни и выход из ремиссии

Индивидуальную консультацию врача можно получить при прохождении процедуры.

Записаться на консультацию

Варианты процедуры

Преимущества процедуры
  • Скоротечность процедуры

    Лазерное удаление занимает в среднем 5-10 минут.

  • Исключает кровотечение

    За счет коагуляции сосудов.

  • Не требует восстановления

    Так как после удаления не накладываются швы на кожу.

  • Полный контроль воздействия лазера

    За счет автоматизации процесса.

  • Одна процедура

    Лазер устраняет новообразование «с корнем», но не исключает повторное появление наростов, если не устранена первопричина их возникновения.

  • Безопасно и стерильно

    Лазер обеззараживает кожу, исключая риск инфицирования.

  • Низкие цены

    Одни из самых низких цен в Петербурге.



Акции

Другие акции

Все акции
ПОДПИШИТЕСЬ НА РАССЫЛКУ
Будьте в курсе всех акций, получайте эксклюзивные предложения каждый месяц и дополнительную скидку в день рождения!

Клиники

Врачи

фотография специалиста
Облицова Вероника Владимировна

Ведущий врач-дерматовенеролог,
косметолог,
эксперт по новообразованиям кожи

ул. Гороховая, д. 26

Отзывы: 20
фотография специалиста
Шарова Людмила Николаевна

Ведущий врач-дерматовенеролог,
косметолог

ул. Гороховая, д. 28

Отзывы: 19
фотография специалиста
Логачева Ирина Викторовна

Врач-дерматовенеролог,
косметолог

ул. Гороховая, д. 26

Отзывы: 18
фотография специалиста
Обжерина Ольга Игоревна

Главный врач,
ведущий врач-дерматовенеролог,
косметолог,
эксперт по новообразованиям кожи

ул. Гороховая, д. 26

Отзывы: 57
фотография специалиста
Ковшова Анастасия Алексеевна

Зам.главного врача,
ведущий врач-дерматовенеролог,
косметолог,
эксперт по новообразованиям кожи

ул. Гороховая, д. 26

Отзывы: 22
фотография специалиста
Манылова Евгения Борисовна

Ведущий врач-дерматовенеролог,
косметолог

ул. Гороховая, д. 26

Отзывы: 29
фотография специалиста
Носова Ксения Сергеевна

Ведущий врач-дерматовенеролог,
косметолог,
эксперт по новообразованиям кожи

ул. Гороховая, д. 26

Отзывы: 26
фотография специалиста
Моиспанова Александра Леонидовна

Ведущий врач-дерматовенеролог,
косметолог

ул. Гороховая, д. 26

Отзывы: 32
фотография специалиста
Матвеева Дарья Александровна

Ведущий врач-дерматовенеролог,
косметолог,
эксперт по новообразованиям кожи ,
сертифицированный тренер IPSEN

ул. Гороховая, д. 26

Отзывы: 21
фотография специалиста
Сирот (Куц) Альбина Эдуардовна

Врач -дерматовенеролог, косметолог,
эксперт по новообразованиям кожи

ул. Казанская, д. 4

Отзывы: 14
фотография специалиста
Югова Валерия Алексеевна

Врач-дерматовенеролог,
косметолог

ул. Казанская, д. 4

Отзывы: 20
фотография специалиста
Пахомова Надежда Федоровна

Ведущий врач дерматовенеролог,
косметолог,
заместитель главного врача,
эксперт по новообразованиям кожи

ул. Фрунзе, д. 5

Отзывы: 44
фотография специалиста
Мирхайдарова Эллина Раисовна

Ведущий врач дерматовенеролог,
косметолог

ул. Фрунзе, д. 5

Отзывы: 40
фотография специалиста
Лебедева Светлана Андреевна

Ведущий врач дерматовенеролог,
косметолог,
эксперт по новообразованиям кожи,
мастер компании IPSEN

ул. Фрунзе, д. 5

Отзывы: 13
фотография специалиста
Соловьева (Бекасова) Светлана Сергеевна

Ведущий врач дерматовенеролог,
косметолог,
эксперт по новообразования кожи

ул. Фрунзе, д. 5

Отзывы: 21
фотография специалиста
Сиушкина Светлана Сергеевна

Врач-дерматовенеролог,
косметолог

ул. Фрунзе, д. 5

Отзывы: 7
фотография специалиста
Никонова Ксения Валерьевна

Врач-дерматовенеролог,
косметолог

ул. Фрунзе, д. 5

Отзывы: 9
фотография специалиста
Жеребненко Екатерина Владимировна

Ведущий врач-дерматовенеролог,
косметолог,
эксперт по новообразованиям

Серебристый б-р, д.17

Отзывы: 26
фотография специалиста
Черных Валентина Александровна

Ведущий врач-дерматовенеролог, косметолог,
главный врач,
эксперт по новообразованиям кожи

Серебристый б-р, д.17

Отзывы: 31
фотография специалиста
Джанинян Татевик Гагиковна

Ведущий врач дерматовенеролог,
косметолог,
эксперт по новообразованиям

Серебристый б-р, д.17

Отзывы: 12
фотография специалиста
Аббасова Нурида Ядуллаевна

Ведущий врач-дерматовененеролог,
косметолог

Серебристый б-р, д.17

Отзывы: 5
фотография специалиста
Абдуллаева Айнур Асадовна

Ведущий врач-дерматовенеролог,
косметолог

Серебристый б-р, д.17

Отзывы: 6
фотография специалиста
Чеботарев Дмитрий Вячеславович

Врач-дерматовенеролог,
косметолог,
эксперт по новообразованиям

ул. Подвойского, д. 26, к. 3.

Отзывы: 16
фотография специалиста
Калашникова Виктория Сергеевна

Ведущий врач-дерматовенеролог,
косметолог

ул. Подвойского, д. 26, к. 3.

Отзывы: 3
фотография специалиста
Пшеничная Юлия Андреевна

Врач-дерматовенеролог,
эксперт по удалению новообразований

ул. Мира, д. 15 к. 1

Отзывы: 6
фотография специалиста
Мамаева Тамара Хамзатовна

Ведущий врач-дерматовенеролог,
косметолог,
эксперт по новообразованиям кожи

ул. Мира, д. 15 к. 1

Отзывы: 1
фотография специалиста
Сажина Виктория Вадимовна

Главный врач ,
ведущий врач-дерматовенеролог,
косметолог,
эксперт по новообразованиям кожи

пр. Просвещения, д. 15

Отзывы: 13
фотография специалиста
Главинская Елена Александровна

Ведущий врач-дерматовенеролог,
косметолог,
эксперт по новообразованиям кожи

пр. Просвещения, д. 15

Отзывы: 25
фотография специалиста
Колчева Екатерина Николаевна

Ведущий врач-дерматовенеролог,
косметолог,
эксперт по новообразованиям

пр. Просвещения, д. 15

Отзывы: 26
фотография специалиста
Айрапетян Лилит Артуровна

Ведущий врач-дерматовенеролог,
эксперт по новообразованиям ,
косметолог

пр. Просвещения, д. 15

Отзывы: 17
фотография специалиста
Князева Евгения Юрьевна

Врач-дерматовенеролог,
косметолог

пр. Просвещения, д. 15

Отзывы: 10
фотография специалиста
Шапран Оксана Олеговна

Врач-дерматовенеролог,
косметолог

ул. Казанская, д. 4

Отзывы: 0
фотография специалиста
Фастовец Анастасия Олеговна

Ведущий врач дерматовенеролог,
косметолог,
трихолог

Комендантский пр., д.12 к.1

Отзывы: 1
фотография специалиста
Сафонова Татьяна Владимировна

врач-дерматовенеролог,
косметолог

ул. Фрунзе, д. 5

Отзывы: 9
фотография специалиста
Водопьянова Юлия Васильевна

Врач-дерматовенеролог,
косметолог,
эксперт по новообразованиям кожи

ул. Казанская, д. 4

Отзывы: 2
фотография специалиста
Кайгородова Ирина Андреевна

Ведущий врач-дерматовенеролог,
косметолог,
эксперт по новообразованиям

ул. Подвойского, д. 26, к. 3.

Отзывы: 7
фотография специалиста
Краюшкина Янина Георгиевна

Ведущий врач-дерматовенеролог,
дерматоонколог,
косметолог,
трихолог

ул. Верейская, д. 3

Отзывы: 3
фотография специалиста
Яновская Яна Андреевна

Врач-дерматовенеролог,
косметолог

Московский пр., д. 73, к. 4

Отзывы: 2
фотография специалиста
Лиханова Алена Юрьевна

Главный врач,
ведущий врач - дерматовенеролог,
косметолог,
эксперт по новообразованиям кожи

ул. Варшавская, д.61, корп.1

Отзывы: 19
фотография специалиста
Кревская Екатерина Александровна

Ведущий врач-дерматовенеролог,
эксперт по новообразованиям кожи

ул. Варшавская, д.61, корп.1

Отзывы: 9
фотография специалиста
Воскресенская Александра Евгеньевна

Ведущий врач-дерматовенеролог,
главный врач филиала,
врач-косметолог,
эксперт по новообразованиям кожи

Московский пр, д.6

Отзывы: 17
Все специалисты

Лицензии

Отзывы пациентов